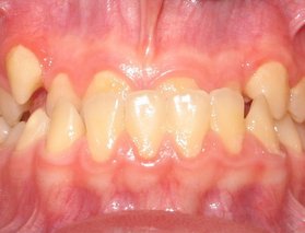
Underbett

Underkäkens framtänder hamnar framför överkäkens framtänder vid sammanbitning. Underbett, vilket inte är så vanligt som överbett, är ofta ärftligt och beror vanligen på att underkäken har en förhållandevis större framåttillväxt än överkäken. Eftersom underkäkens tillväxt kan vara svår att påverka med tandreglering, är det svårt att säga hur det långsiktiga resultatet av en behandling blir. Vid uttalat underbett kan bettet bara behandlas kirurgiskt när patienten har nått vuxen ålder.

Före:

Efter:

Telefon: 070-301 22 44

Kontaktuppgifter »

Aktuellt hos oss