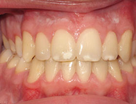
Öppet bett

Vissa tänder når inte kontakt med varandra vid sammanbitning. Detta är ett bettfel som ofta uppträder som en följd av intensiv napp- eller fingersugning. Om sugvanan kan avbrytas i tid (helst före 4 års ålder) brukar bettet korrigera sig själv. Öppna bett som beror på ärftliga faktorer är svårbehandlade och i vissa fall kan det krävas käkkirurgi för att det skall gå att korrigera dem.

Före:

Efter:

Telefon: 070-301 22 44

Kontaktuppgifter »

Aktuellt hos oss